Concerned woman checking her teeth

Fillings

Even with care and attention, our teeth may experience decay or damage. Cavities happen to most people â€” and with prompt treatment, we can resolve the damage using strong tooth-colored fillings. If you notice holes or cavities in your teeth, visit Dr. Terrance Wolbaum at Pioneer Hills Dental in Aurora, CO for fillings.

Need Relief From Tooth Pain?

Whether you're struggling with a cavity, a cracked tooth, or a root canal infection, it can be hard to tell what the issue is in the wake of all that discomfort. Our Aurora, CO, dental office is equipped to help with a wide range of issues causing tooth pain â€” so reach out ASAP.

Signs You May Have a Cavity

Though the only way to know for sure if you have a cavity is to visit our dentist , these signs can indicate tooth decay:

  • Fluoride Spots on Teeth
  • Dental Pain
  • Holes on Teeth
  • Dark Stains on Teeth
  • Dental Sensitivity

If You Have a Cavity You're Far From Alone

Reframing How You Think About Cavity Care

While some people may feel embarrassed or nervous about tooth decay, the truth is that you're much more likely to experience it in your lifetime than not.

So, there's absolutely no shame to seeking treatment.

Our dental team knows that tooth decay can be painful and stressful â€” and our only goal is to take care of you.

Visit Pioneer Hills Dental as Soon as Possible If You Are Experiencing Tooth Decay

When it comes to tooth decay, time is of the essence. The longer you wait, the more damage your teeth may experience. You may also need a more costly fix, such as dental crowns , instead of simpler fillings.

Our dentist, Dr. Wolbaum , is always here to help if you need him. He understands that many patients experience tooth decay in their lifetimes â€” and his only goal is to make you better.

So, stop delaying your treatment and get the dental care you deserve. You can contact our Aurora, CO, office or call

(303) 766-8811

Pioneer Hills Dental office lobby
Cavities can cause significant pain — but you can find relief with fillings at our Aurora office.

"Highly recommend if you want a superb dentist." Aurora Patients Feel at Ease in Our Office

1

Kaycee Tormoen

Aurora, CO

2022

Google logo

I love Pioneer Hills! I’ve been coming here for years. Even though we moved quite a distance away, I still come here because I always feel taken care of. Highly recommend!

View on Google
1

Christian Pak

Aurora, CO

2022

Google logo

Just started at Pioneer Hills Dental and they are super friendly!! They are super thorough as well as being gentle. Highly recommend if you want a superb dentist

View on Google

Enjoy the Discreet Appearance

of Tooth-Colored Fillings

Decades ago, dentists used to seal cavity damage with noticeable metal fillings, also called amalgam fillings.

However, in more recent years, they have embraced a subtle yet effective alternative: tooth-colored fillings. Tooth-colored fillings are designed to mimic the natural shade of your teeth. These modern dental fillings use composite resin, which is strong and natural-looking, to fill areas impacted by decay.

Composite resin fillings have another advantage over amalgam fillings: though they are considered safe, amalgam fillings contain mercury. Many patients prefer to avoid amalgam for this reason.

To treat concerns of fit, health, or appearance, our dentist is able to replace your old amalgam fillings with new ones.

The Dramatic Difference Dental Fillings Can Make

Decayed Tooth
A Decayed Tooth
Tooth with Dental Fillings
A Tooth With Dental Fillings
Your tooth may be home to decay caused by plaque or bacteria. After the harmful material is removed by our dentist, Dr. Wolbaum , he will close the area with tooth-colored fillings.

Choose a Filling That Makes Your Teeth Stronger

There are many types of fillings out there, such as gold, silver, and amalgam.

However, there is only one that can actually make your teeth stronger: tooth-colored fillings made from composite resin.

Our Aurora office uses tooth-colored fillings to give our patients effective, discrete results.

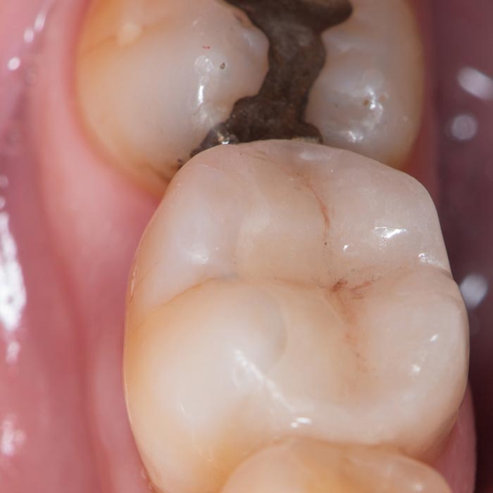
The Invisible Difference: Composite Resin Fillings in Action

We offer fillings using tooth-colored composite resin for the most natural results. Visit us if you want an old amalgam or gold filling replaced.
Tooth with Silver Filling
A Traditional Filling Using Amalgam
Tooth with Composite Amalgam Filling
A Modern Filling Using Composite Resin

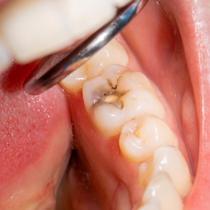
Technology Spotlight:

Our Intraoral Camera


For precise care from the beginning, we use an intraoral camera. It allows us to examine your mouth in greater detail â€” and it can even help us detect cavities in earlier stages.

We'll also this camera, as well as our 3D CBCT (cone beam computed tomography) scanner and digital X-rays, during your return visit. Our focus on advanced technology can ultimately ensure that your new filling is in good shape and that your teeth are cavity-free.

Young girl getting her teeth examined with an intraoral camera

Explore the Benefits of Pioneer Hills Dental During a Filling Consultation

Every detail counts at our welcoming practice. We're proud to offer advantages designed with your experience in mind, such as:

Discomfort Relief

If you are experiencing dental pain from your cavities, then you have already gone through the hardest part of the process. Now, you have plenty of help to keep you calm and comfortable, starting with local anesthetic.

Family Dental Care

Both children and adults can experience cavities. When you visit our office, you'll meet a team your whole family can trust for dental emergencies , cavity treatment, and routine teeth cleaning.

Early and Late Hours

Taking care of your cavity quickly is crucial, but it can be a struggle with your schedule. Fortunately, with our extended hours, we start bright and early at 7:30 a.m. on Fridays and stay open late on Thursdays until 7 p.m.

Comprehensive Treatments

No matter your needs, you can trust our practice for a variety of restorative treatments , like fillings, crowns , and implants . Our dentist also offers preventative treatments like sealants and cleanings to prevent future cavities.

From offering lifelike materials to conducting additional gum disease treatment , we put your well-being first. Find tailored care at a compassionate Aurora, CO, dental practice by contacting our team or calling:

(303) 766-8811

We Combine Compassion With Comfort For Treatment Aurora Patients Truly Appreciate

"I have been a patient of Dr. Wolbaum for 5-6 years now. If they weren't GREAT, I wouldn't continue to go there... Today I had some repair work done on 4 teeth -ugh. I know my mouth can be 'difficult to numb', but Dr. Wolbaum has a 'technique' that gets me super numb and I don't feel a thing-so grateful for that. He is very knowledgable as to things that may be going on in your mouth that could potentially be a health issue. If you are looking for a kind and caring Dental office - Pioneer Hills Dental is the place to go." Patty O.

Are Fillings Eligible for Insurance?

/

Yes, fillings are eligible for coverage. Dental insurance typically does not cover the full cost of fillings, but they will absolutely help with a portion of the expenses. That's because fillings are necessary for your oral health. Not to mention, acting quickly can save you from more expensive options, like crowns .

We Offer CareCredit Financing For Your Peace of Mind

Patients typically cover their filling costs using a combination of insurance, cash, or credit cards. For those who need a little extra assistance paying for their care, our dentistry practices features CareCredit®.

This financing option can ensure happier, healthier patients â€” and give them some well-deserved peace of mind, too.

​Are Fillings Painful?

From gold fillings to tooth-colored fillings, many patients have the same question: will this hurt?

The truth is, you've probably experienced a lot of pain recently due to your decayed or damaged tooth. A dental filling will end that discomfort.

Your dentist, Dr. Wolbaum , will also use a local anesthetic to ensure that the area is numb before he works on your composite fillings. That way, you do not feel any pain during the process.

If you have dental anxiety or think you might need further sedation, you can talk to him about the options available.

How Are Fillings Conducted?

It typically takes only an hour or less to fully treat your cavity.
It typically takes only an hour or less to fully treat your cavity.

Filling Consultation

First, you'll visit our Aurora dental office for a consultation. We may be able to treat your cavity immediately, or we may schedule a separate filling appointment as soon as possible.

Tooth Scans

Our dentist can often tell if you have a cavity just by looking. For the most accurate care, he will also use technology like digital scans or an intraoral camera before planning treatment.

Dental Anesthetic

No need to stress about any discomfort. When it's time for your cavity treatment, Dr. Wolbaum can apply a local anesthetic to the area.

Cavity Treatment

Next, our dentist will thoroughly treat your affected tooth. The methods used depend on how deep your cavity is, but all of them are based on removing the cavity entirely. We'll also clean your tooth afterwards.

Composite Filling

Once your cavity has been fully cleaned, our dentist can apply your composite filling. This typically involves placing filling material into any areas eroded or affected by your cavity. Then, he will likely cure the filling via UV light.

How to Prevent Future Cavities

It takes only a few minutes a day to do the bulk of your cavity prevention. Protect your teeth and make sure that you:

Brush Properly

You should brush twice a day for two minutes, ensuring that you clean both your teeth and gums. If you do not have an electric toothbrush, talk to Dr. Wolbaum about his recommendations.

Floss Daily

If you do not floss, plaque can build up. It may eventually lead to cavities, leading you to need more dental fillings down the road. When you floss each day, remember to move your floss at a C-shaped curve.

Use Mouthwash

Mouthwash can prevent food particles from lodging in your teeth and accumulating plaque. It can also reduce the amount of bacteria in your mouth â€” a strong cause of cavities.

Visit Us

Our dentistry practice believes in the importance of preventative care. From our digital X-rays to full, comprehensive exams for new patients, we put your dental health first.

An Aurora, CO, Team That Works With Your Best Interests in Mind

1

Kelly Farr

2022

Google logo

The staff is friendly and helpful. Welcoming. Dr Wolbaum takes the time to listen to you and he always asks how you are doing. He doesn’t tell you something is wrong when there’s not, cavities for example. Honest. It is clean and well maintained. I have sent family and friends here.

View on Google
1

Long Nguy

2022

Google logo

Been coming here for years. The staff is professional and care about their patients’ oral health. I personally would highly recommend this dental office. Big thanks to everyone at Pioneer Hills Dental, I greatly appreciate you all!!!

View on Google

Pioneer Hills Dental

Pioneer Hills Dental is a comprehensive practice where patients of all ages can receive advanced dentistry in a state-of-the-art setting. Our dentist, Dr. Terrance Wolbaum , is an active member of many prestigious dental organizations, including:

  • American Dental Association
  • Colorado Dental Association
  • International Congress of Oral Implantologists
  • Metropolitan Denver Dental Society
  • New Dentist Committee
  • Misch Fellowship
  • Dawson Academy

To make dentistry more affordable for families, Dr. Wolbaum proudly accepts most dental insurance plans and financing through CareCredit® . To book your appointment, request a consultation online or call our practice at (303) 766-8811 .

Contact Us Today

Rate, Review & Explore